Encephalitis
Condition Basics
What is encephalitis?
Encephalitis is a swelling (inflammation) of the brain. It's usually caused by a virus. The normal blood flow to the brain changes, and this can cause symptoms. Encephalitis is not common, but it can be deadly if it's not treated right away.
What are the symptoms?
Symptoms of encephalitis can include:
- Confusion.
- A fever.
- A headache (which can be very painful).
- A stiff neck and back.
- Light hurting your eyes.
- Nausea and vomiting.
- Lack of energy.
- Drowsiness.
More serious symptoms include:
- Seizures.
- Tremors.
- Personality changes.
- Memory loss.
- Hallucinations (seeing or hearing things that aren't there).
If you think that you or your child has encephalitis, call your doctor right away.
How is it diagnosed?
Your doctor will ask questions about your past health and your symptoms and may order tests to confirm the diagnosis. These may include:
- Spinal fluid analysis.
By doing a lumbar puncture (also called a spinal tap), your doctor can check the spinal fluid for an increase in white blood cells and protein. The virus, bacteria, parasite, or fungus causing encephalitis also may be found in the spinal fluid.
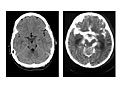
- Imaging tests.
An MRI or CT scan may show bleeding, swelling, or other changes in the brain caused by encephalitis.
- Electroencephalogram (EEG).
This test can measure the electrical signals in the brain. It may show a change related to the illness.
- Blood tests.
These tests can show what type of virus is causing encephalitis.
How is encephalitis treated?
Encephalitis needs to be treated in a hospital. You may be treated with an antiviral medicine, such as acyclovir. Antiviral medicine may make symptoms less severe, especially if you get the medicine right away.
You'll also get supportive care to ease your symptoms and allow your body to heal on its own. You may take medicines to reduce pain and fever or to stop seizures. Some people may need a machine called a ventilator to help them breathe.
You may have some symptoms for several weeks or longer while your body slowly heals. Your doctor may recommend physical therapy. This can help you get stronger and active again.
Related Information
Credits
Current as of: September 30, 2025
Author: Ignite Healthwise, LLC Staff
Clinical Review Board
All Ignite Healthwise, LLC education is reviewed by a team that includes physicians, nurses, advanced practitioners, registered dieticians, and other healthcare professionals.
Current as of: September 30, 2025
Author: Ignite Healthwise, LLC Staff
Clinical Review Board
All Ignite Healthwise, LLC education is reviewed by a team that includes physicians, nurses, advanced practitioners, registered dieticians, and other healthcare professionals.

